• 關於日出
    • 日出理念
    • 日出環境
  • 醫療團隊
  • 診療項目
    • 日出輕植牙
    • 日出全植牙
    • 日出輕矯正
    • 日出微貼片
  • 醫療光明燈
    • 植牙光明燈
    • 美齒光明燈
    • 矯正光明燈
  • 我想諮詢
最新消息
  • AI輔助牙科影像分析正式上線

    2025-09-24
  • BPS高階活動假牙成熱選

    2025-09-24
  • 美學與專科化成新趨勢

    2025-09-24
診療項目

日出・輕植牙

日出・全植牙

日出・輕矯正

日出・微貼片

醫療團隊
陳冠吟 院長

陳冠吟 院長

鄭智齊 醫師

鄭智齊 醫師

吳佳瑧 醫師

吳佳瑧 醫師

陳佳玗 醫師

陳佳玗 醫師

黃佑聖 醫師

黃佑聖 醫師

李宛珍 醫師

李宛珍 醫師

楊庭碩 醫師

楊庭碩 醫師

戴昕彤 醫師

戴昕彤 醫師

案例分享
牙齒斷裂

牙齒斷裂

拔牙+補骨+植牙一次完成,免手術、免翻牙肉

前牙斷裂

前牙斷裂

斷牙即刻處理 速度快 不腫痛 輕負擔

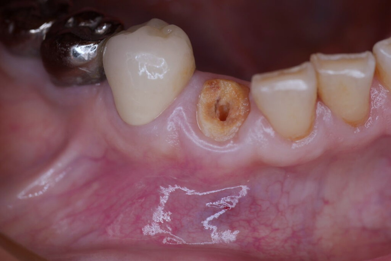
犬齒蛀空

犬齒蛀空

聯絡電話:02-2515-2001 地址:台北市中山區龍江路275號

營業時間:
週一至週五
早上09:30-12:00 / 下午14:00-17:30 / 晚上18:30-21:00
週六 早上09:30-12:00 / 下午14:00-17:30

本網站依據(醫療機構網際網路資訊管理辦法)規定:禁止網際網路服務業者轉錄其網路資訊之內容供人點閱。 但以網路搜尋或超連結方式,進入醫療機構之網址(域)直接點閱者,不再此限。