logo bakery
  • 關於日出
    • 日出理念
    • 日出環境
  • 醫療團隊
  • 診療項目
    • 日出輕植牙
    • 日出全植牙
    • 日出輕矯正
    • 日出微貼片
  • 醫療光明燈
    • 植牙光明燈
    • 美齒光明燈
    • 矯正光明燈
  • 我想諮詢
  • 首頁
  • 日出輕植牙
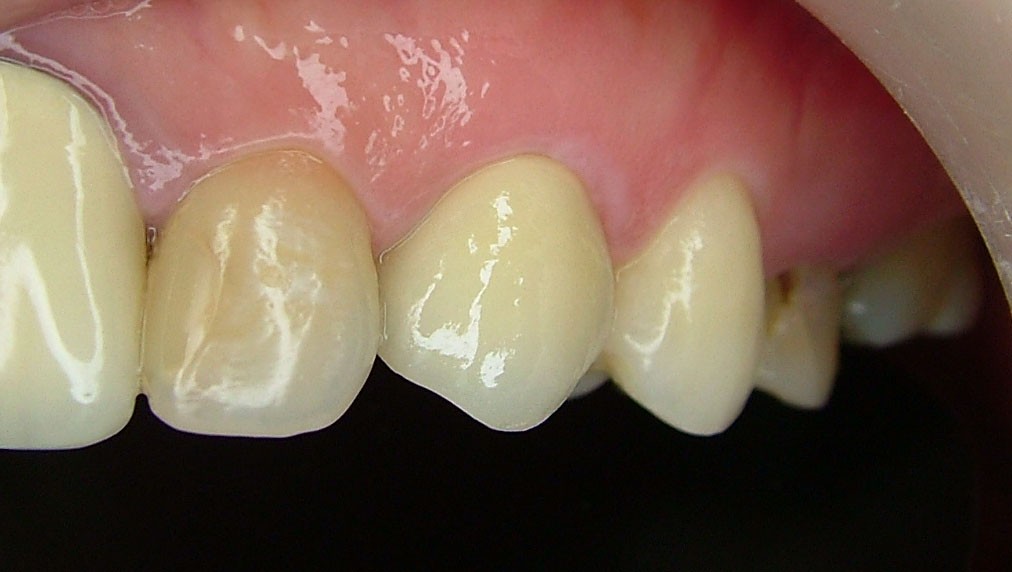
  • 犬齒蛀空

犬齒蛀空


前

 

中

 

後

聯絡電話:02-2515-2001 地址:台北市中山區龍江路275號

營業時間:
週一至週五
早上09:30-12:00 / 下午14:00-17:30 / 晚上18:30-21:00
週六 早上09:30-12:00 / 下午14:00-17:30

本網站依據(醫療機構網際網路資訊管理辦法)規定:禁止網際網路服務業者轉錄其網路資訊之內容供人點閱。 但以網路搜尋或超連結方式,進入醫療機構之網址(域)直接點閱者,不再此限。