關於日出
日出理念
日出環境
醫療團隊
診療項目
日出輕矯正
日出輕植牙
日出微貼片
日出全植牙
醫療光明燈
植牙光明燈
美齒光明燈
矯正光明燈
我想諮詢
首頁
診療項目
日出輕矯正
日出輕矯正
什麼是日出輕矯正?
不用黏附件真正全透明
高效率矯正
獨家生物膜設計
縮短矯正時間正陣痛期
高CP值價格
價格透明公開
實惠價格小資族也沒問題
矯正專業醫師
100%矯正美學。
近20年的專業團隊把關
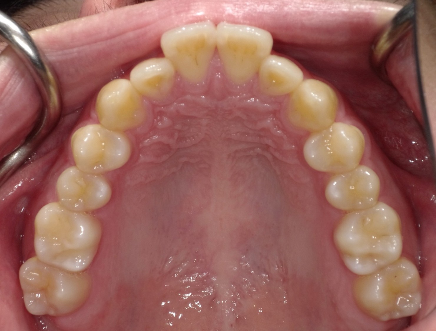
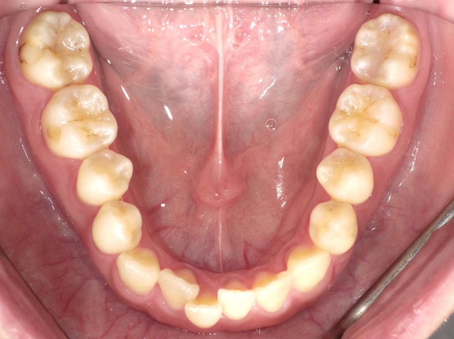
日出輕矯正案例
暴牙 前牙區 輕矯正
前牙排列不齊