關於日出
日出理念
日出環境
醫療團隊
診療項目
日出輕植牙
日出全植牙
日出輕矯正
日出微貼片
醫療光明燈
植牙光明燈
美齒光明燈
矯正光明燈
我想諮詢
首頁
日出輕矯正
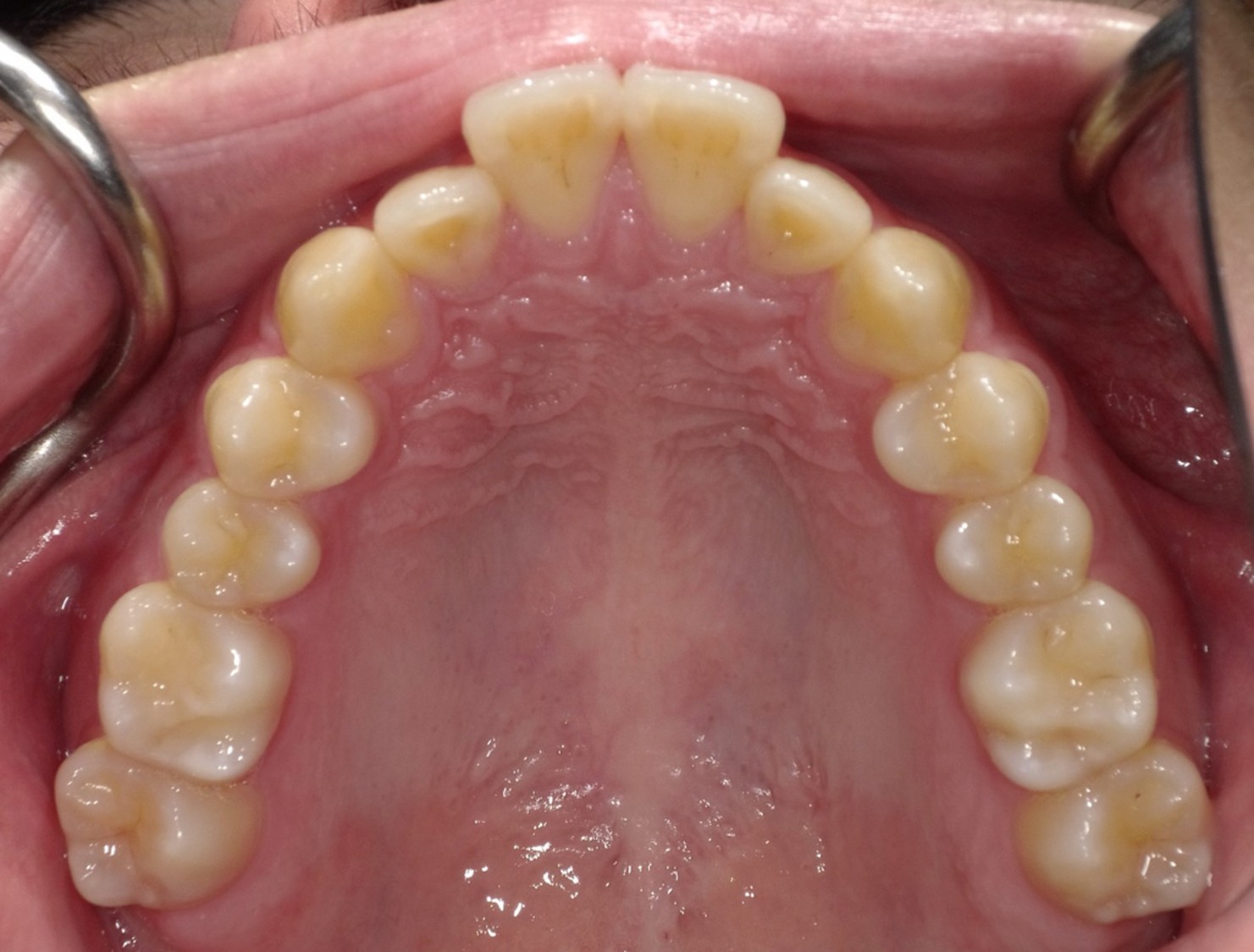
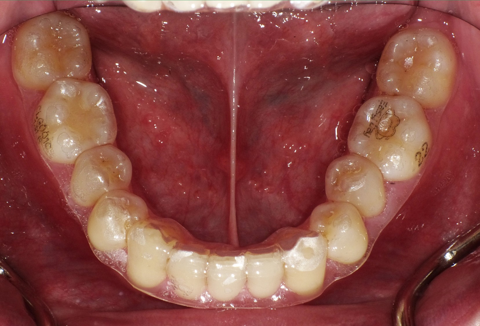
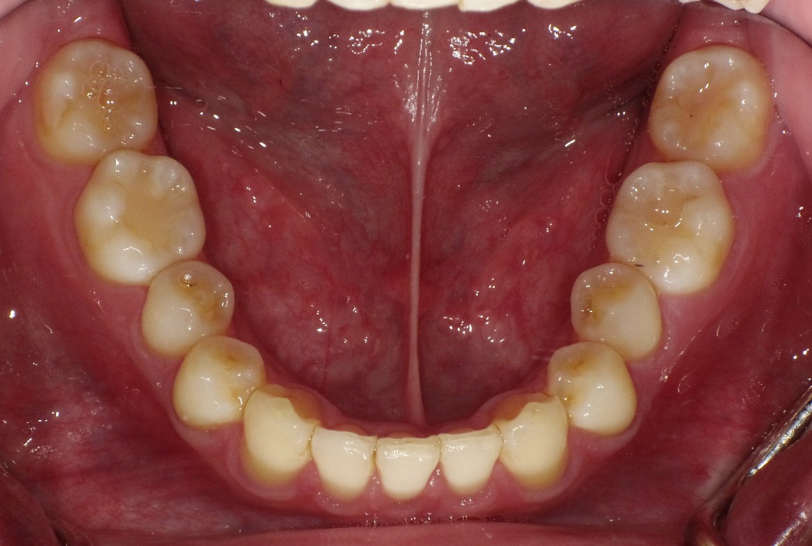
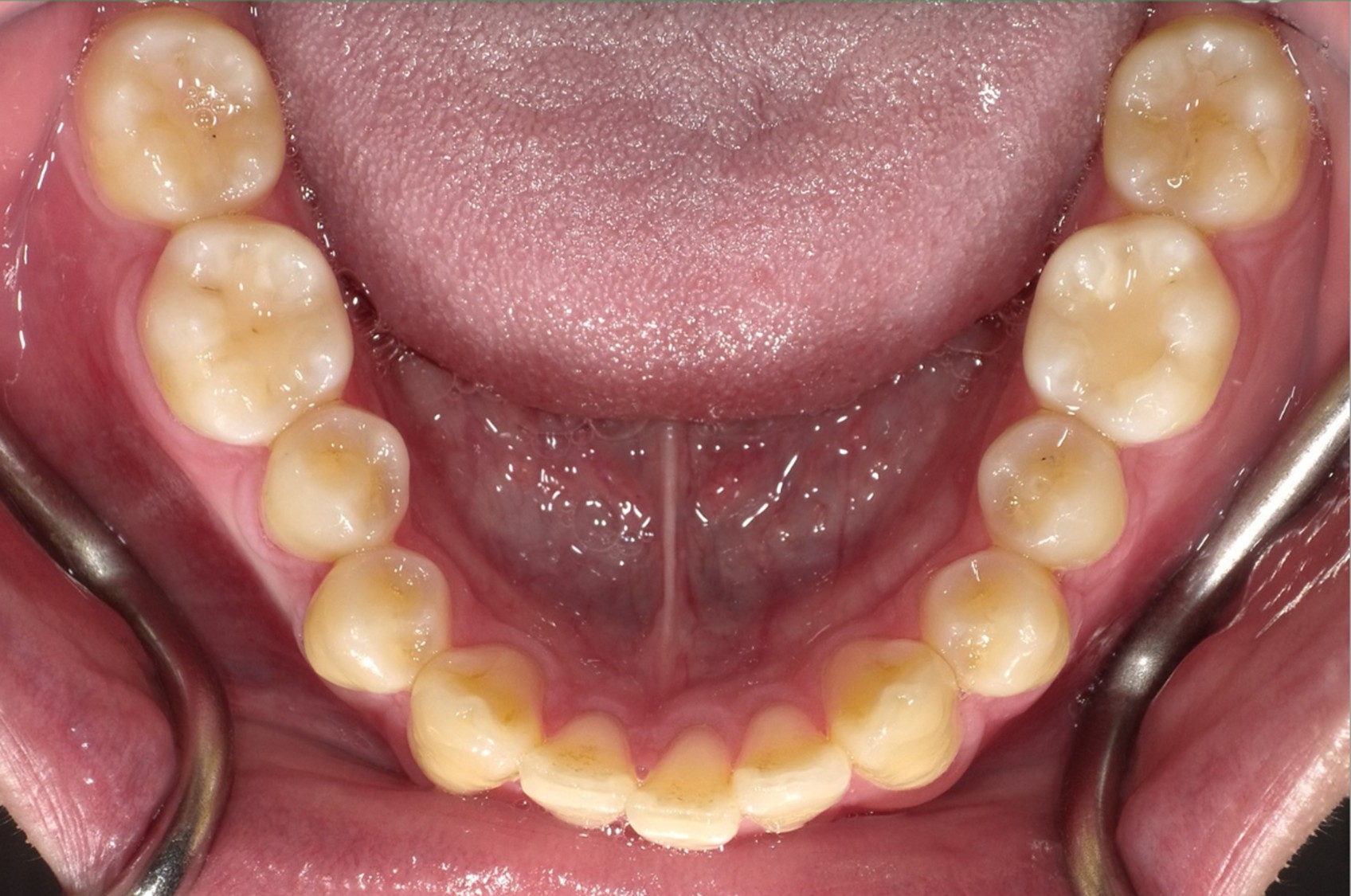
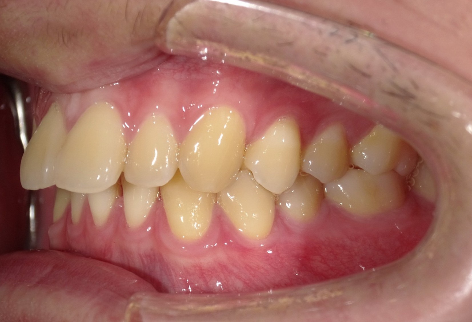
暴牙 前牙區 輕矯正
暴牙 前牙區 輕矯正
前牙區 輕矯正
無附件 無負擔
牙齒表面如新 無破壞
前
中
後