關於日出
日出理念
日出環境
醫療團隊
診療項目
日出輕矯正
日出輕植牙
日出微貼片
日出全植牙
醫療光明燈
植牙光明燈
美齒光明燈
矯正光明燈
我想諮詢
首頁
日出輕植牙
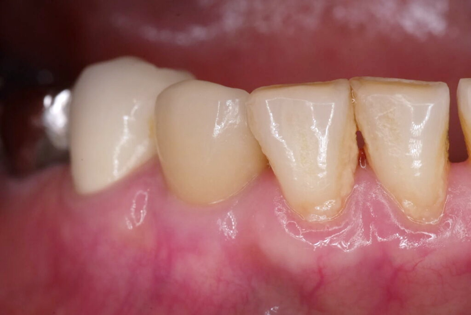
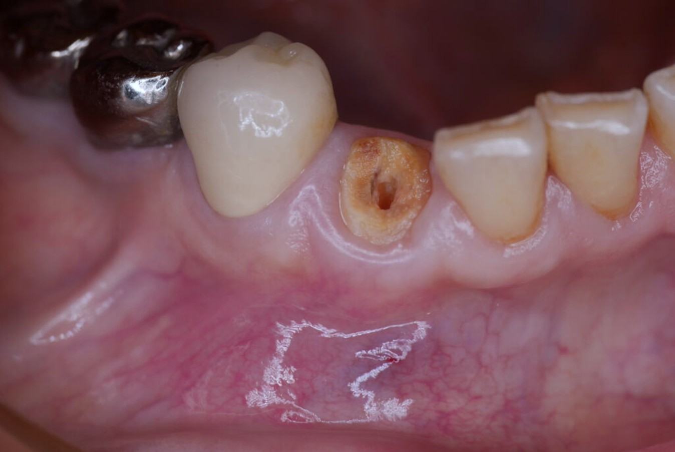
牙齒斷裂,拔牙+補骨+植牙一次完成 免手術 免翻牙肉
牙齒斷裂,拔牙+補骨+植牙一次完成 免手術 免翻牙肉
輕植牙 前
輕植牙 中
輕植牙 後