關於日出
日出理念
日出環境
醫療團隊
診療項目
日出輕植牙
日出全植牙
日出輕矯正
日出微貼片
醫療光明燈
植牙光明燈
美齒光明燈
矯正光明燈
我想諮詢
首頁
日出全植牙
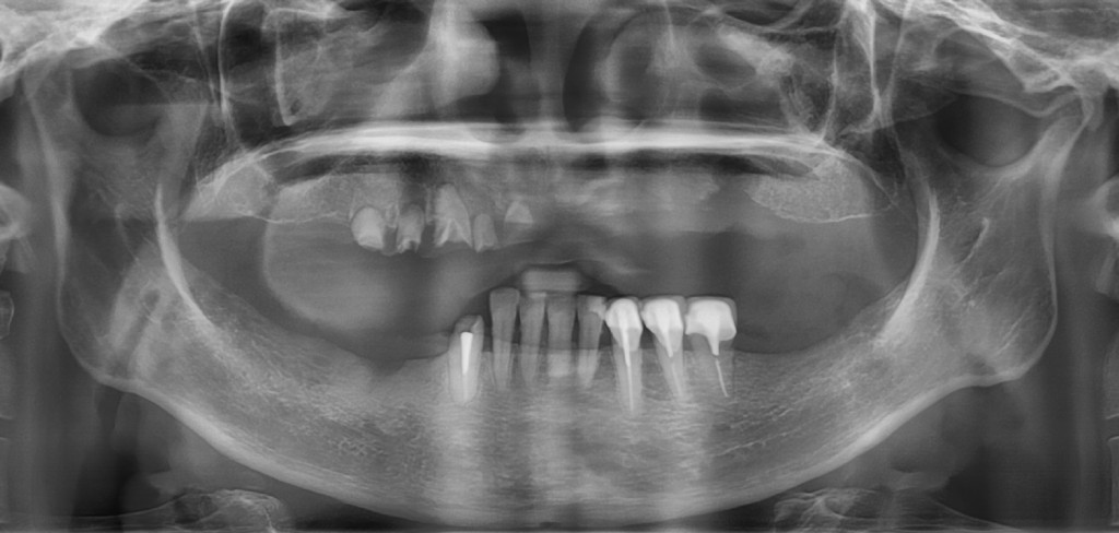
上顎長期缺牙
上顎長期缺牙
上顎長期缺牙,只剩幾個殘存牙根
殘根拔除後,植入6支人工牙根
數位取模,置入植體掃描桿
數位取模 德國口掃機 口內精準掃描
數位取模 電腦設計 電腦製作
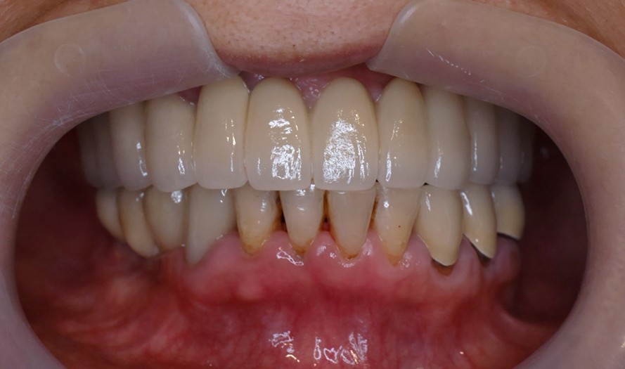
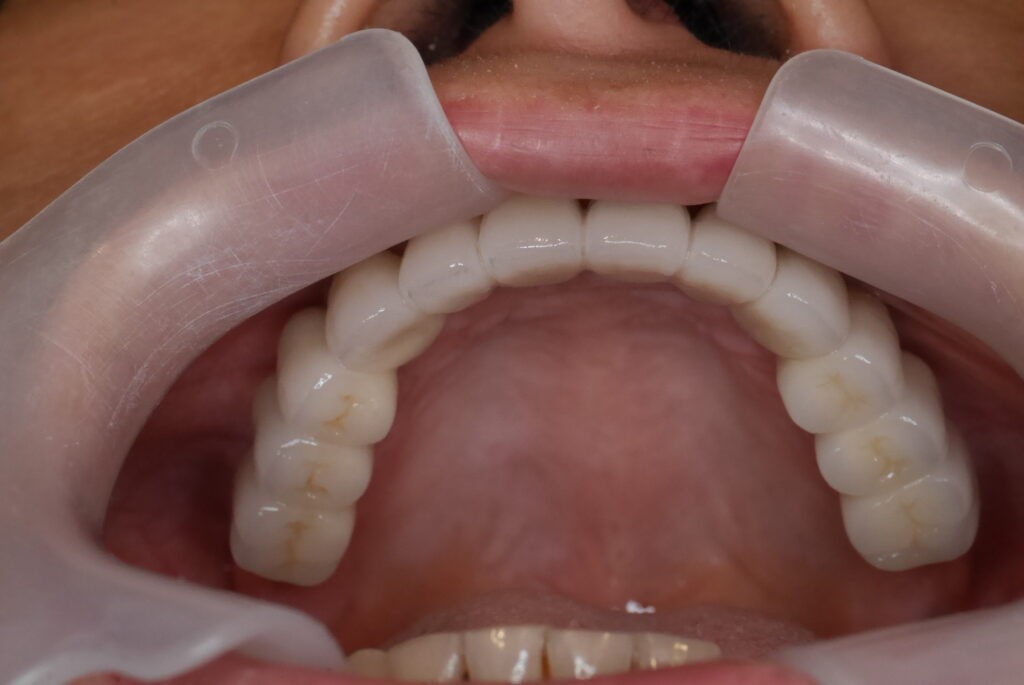
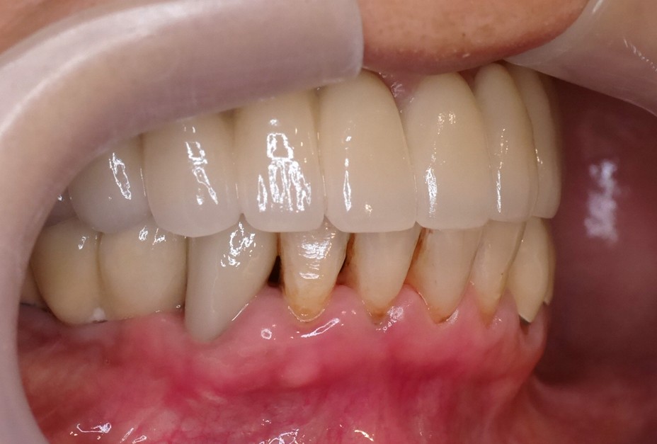
假牙完成