關於日出
日出理念
日出環境
醫療團隊
診療項目
日出輕植牙
日出全植牙
日出輕矯正
日出微貼片
醫療光明燈
植牙光明燈
美齒光明燈
矯正光明燈
我想諮詢
首頁
日出全植牙
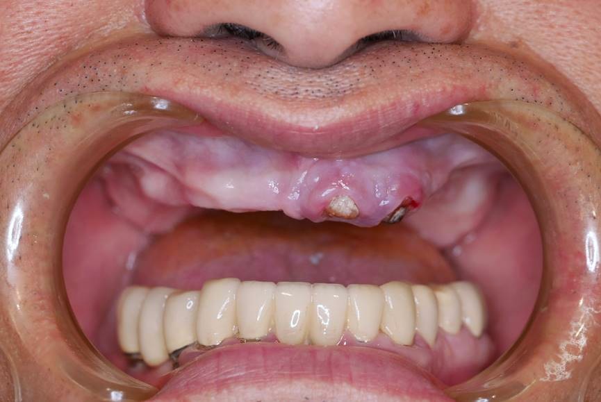
上顎只剩殘根
上顎只剩殘根
上顎長期缺牙,只剩幾個殘存牙根
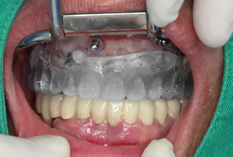
3D手術導板 精準咬合定位
上顎微創 不須翻牙肉 直接植牙鑽孔 術後不腫痛
假牙完成